PREMIODENT

Center specialistične stomatološke protetike

O nas

Leta 2015 je Maja Smerkolj, dr. dent. medicine, specialistka stomatološke protetike, ustanovila podjetje Premiodent z namenom, da nadaljuje svoje življenjsko poslanstvo do pacientov, ki potrebujejo protetično zobozdravstveno oskrbo. Smo zasebna specialistična zobozdravstvena ordinacija. Našo ekipo sestavljamo trije vrhunsko usposobljeni in izkušeni strokovnjaki na področju zobne protetike, ki se lahko v svoji dolgoletni karieri pohvalijo z velikim številom zadovoljnih pacientov. Prav slednje nam je vsem, ki smo vključeni v proces protetične rehabilitacije posameznega pacienta, vodilo pri opravljanju našega dela. Našo ordinacijo obiščejo pacienti z nepravilnim ugrizom, z obrabljenimi zobmi ali s katero drugo nepravilnostjo, kot je delna ali popolna brezzobost. Če omenjena stanja niso odpravljena, se jim pojavijo težave pri prehranjevanju in s tem posledično tudi z zdravjem (zmanjšana odpornost, ki vodi do različnih bolezni). Naša ekipa strokovnjakov s postopki protetične rehabilitacije oskrbi pacienta z ustreznim protetičnim pripomočkom. Uspešen rezultat je tako posledica dobrega sodelovanja med protetikom, kirurgom, zobnim laboratorijem in pacientom.

ordinacijski čas: po predhodnem dogovoru

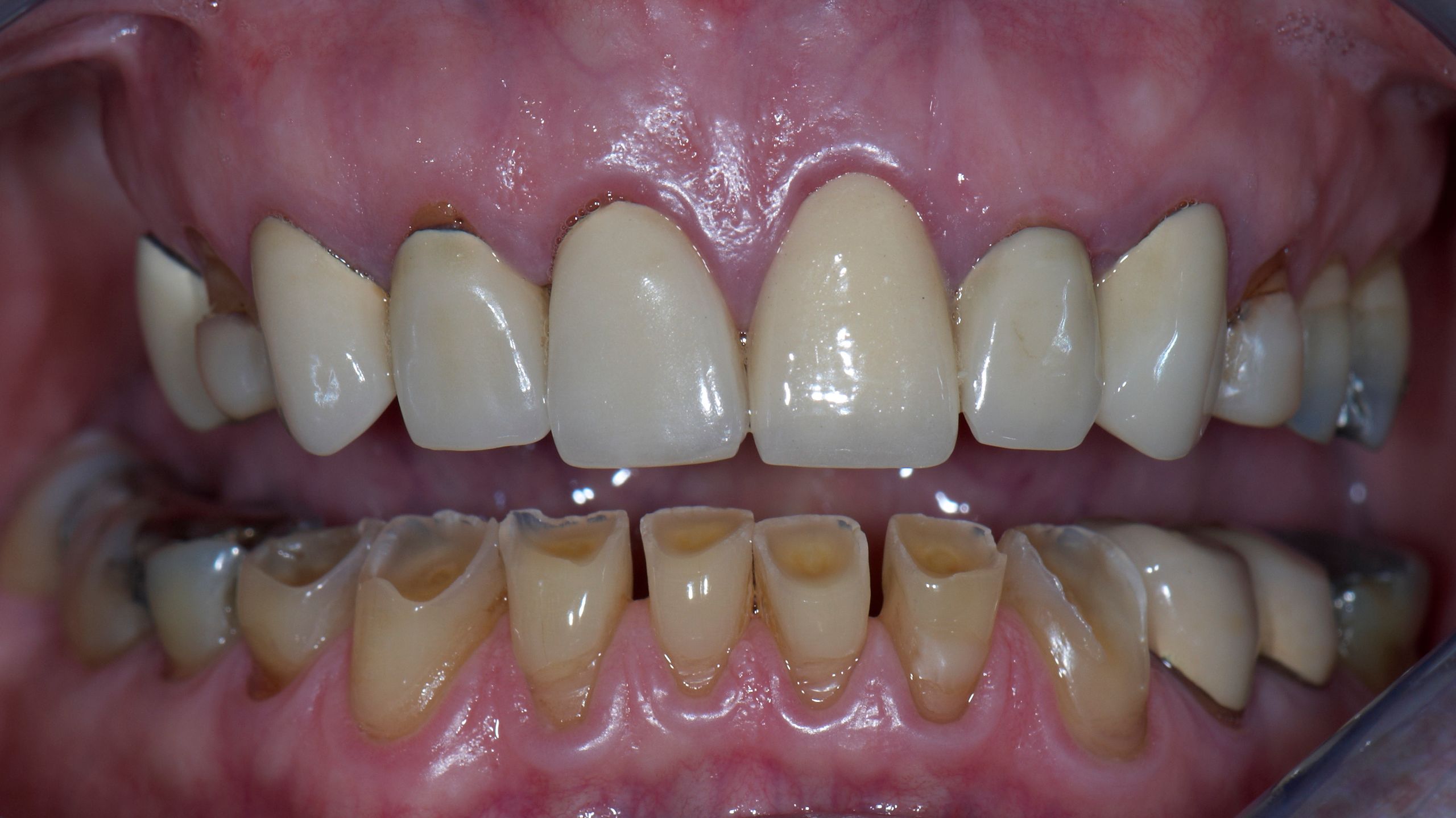
DEJAVNOSTI (PODROČJA DELOVANJA)

  • Implantologija (vstavljanje zobnih vsadkov): Implantatnoprotetična oskrba – snemna in fiksna protetika

  • Bruksizem (škrtanje z zobmi): opornice ter svetovanje

  • Težave s čeljustnim sklepom

  • Konzervativa (priprava pred protetično rehabilitacijo): zobne zalivke, dograditve in zdravljenje zob

  • Odprave težav s smrčanjem – kirurški (laser) posegi in konzervativni (snemljivi pripomočki proti smrčanju)

  • Beljenje zob

Fiksna protetika:

  • prevleke

  • mostički

  • luske

  • fasete

  • inleji in onleji

  • narejeni iz najsodobnejših materialov (kovinsko-porcelanski, polnoporcelanski, cirkonijevi, kompozitni)

Snemna protetika:

  • totalna proteza

  • delna proteza z ulito kovinsko bazo (vizil)

  • začasna proteza

Konusne prevleke:

  • totalna ali snemno delna proteza, podprta s konusi

  • konusni snemni mostiček (iz žlatnih kovin ali po sistemu galvano tehnike)

Kontakt

Informacije

Premiodent, družba za zobozdravstvene storitve, d.o.o.

Malgajeva ulica 7

Ljubljana,  1000

Pridobite navodila

031-319-777
059-976-933

Pišite nam